Logo du site

Traitement du cancer

Traitement de cancers

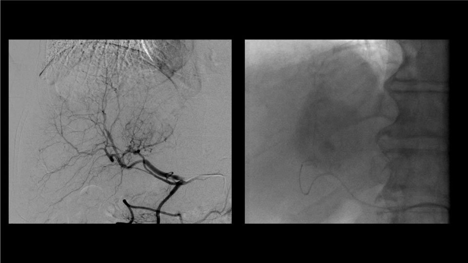
L’oncologie interventionnelle est un ensemble d’intervention qui vise à détruire complètement ou diminuer la taille d’une tumeur

Ces interventions sont toujours proposées après concertation multidisciplinaire, où toutes options thérapeutiques sont envisagées

Le radiologue réalise également prélèvements de tissu ( biopsie), guidé par l’imagerie, dans le but de préciser un diagnostic:

  • Biopsie hépatique, rénale, pulmonaire…
Radiologie
Traitement cancer

Nous contacter

Prendre rendez-vous avec l'un de nos médecins.